With a resurgence of diphtheria disease in some parts of Nigeria, experts have raised concerns about the vaccination coverage and the waning immunity in adolescents and adults in the country.
The experts, who spoke with The PUNCH on Sunday, said there is a need for increased awareness among the populace to curtail the spread of the disease as the country is battling multiple disease outbreaks.
The Director-General of the Nigeria Centre for Disease Control and Prevention, Dr Ifedayo Adetifa, has confirmed that diphtheria has killed at least 34 persons in the country.
The NCDC had, in an advisory, said it had responded to reports of diphtheria cases in Lagos and Kano States and was monitoring the situation in Osun and Yobe States where cases were being picked up.
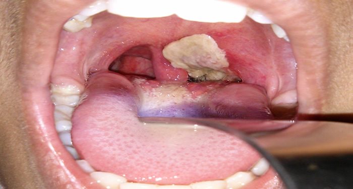
Diphtheria is a serious bacterial infection caused by the bacterium called Corynebacterium species that affects the nose, throat, and sometimes, skin of an individual.
The Kano State Government has confirmed the outbreak of the disease, disclosing that it had recorded 100 suspected cases.
Speaking with our correspondent, the President of the Nigeria Biological Safety Association, Prof Ademola Denloye, said diphtheria is a bacterial disease, and it could be a challenge to control it.
Denloye, who is also a Professor in the Department of Zoology and Environmental Biology at Lagos State University, said “Although it can be prevented by vaccination, the question is do we have the vaccines available and have we been administering them?”
He said various Ministries of Health and health departments at all levels need to up their game in curtailing the disease.
Also, a Professor of Public Health, Tanimola Akande, said it is worrisome that a vaccine-preventable disease is still resurging in the country.
“It means people are not protected and our immune system is low. Routine immunisation coverage is very low in Nigeria. Officially, they say the vaccine is available but are people accessing it?” he asked.
Also, an associate Professor of Virology at the Osun State University, Dr Waidi Sule, said the country should be concerned that the disease is resurging.
“We need massive revaccination, especially of all the children at risk because it should not be a problem. So, if we have a resurgence, we need to intensify the vaccination rate as fast as possible,” Sule said.
NMA allays fears
Meanwhile, the Nigerian Medical Association has said that the country can handle the outbreak.
Speaking with The PUNCH, the NMA President, Dr Uche Ojinmah said “We should not expect too much problem because we have been given the immunisation for diphtheria, that is diphtheria, pertussis, and tetanus.
“So, I don’t know why we are even having an outbreak, it means that either a section of the country, if it is within this country, is not doing the right thing or maybe we have a vaccine failure.”
To curtail the outbreak, Ojinmah said there is a need for increased awareness.
The National Association of Nigeria Nurses and Midwives said the COVID-19 pandemic has helped the nation’s capacity to deal with airborne diseases.
The Secretary of the Lagos State Council of the association, Oloruntoba Odumosu, however, said the country should be worried about the resurgence of the disease.










